- «Да, атомные электростанции 5090 всё ещё... (100)
- Да, 7000 мАч и «телевик», но всё-таки уже... (93)
- Новая статья: Лучшие игры 2025 года: выбор... (144)
- Норвежская компания готовит к запуску в 2026... (308)
- Япония готовит миссию MMX к спутникам Марса:... (294)
- Новый тип ветрогенераторов для питания... (331)
- США тестируют «заряжающее» шоссе: во Флориде... (326)
- Космические силы США готовят новую базу для... (198)
- Стеклянная память будущих дата-центров:... (446)
- SPHBM4: новый формат памяти для удешевления... (352)
- Израиль принял на вооружение лазерную пушку... (335)
- Израиль принял на вооружение лазерную пушку... (313)
- Dell вернёт культовую линейку ноутбуков XPS... (373)
- Выпирает всего на 1,7 мм. OnePlus... (323)
- На выбор есть процессоры AMD, Intel и не... (384)
- Отключить DLSS и переложить эту работу прямо... (460)
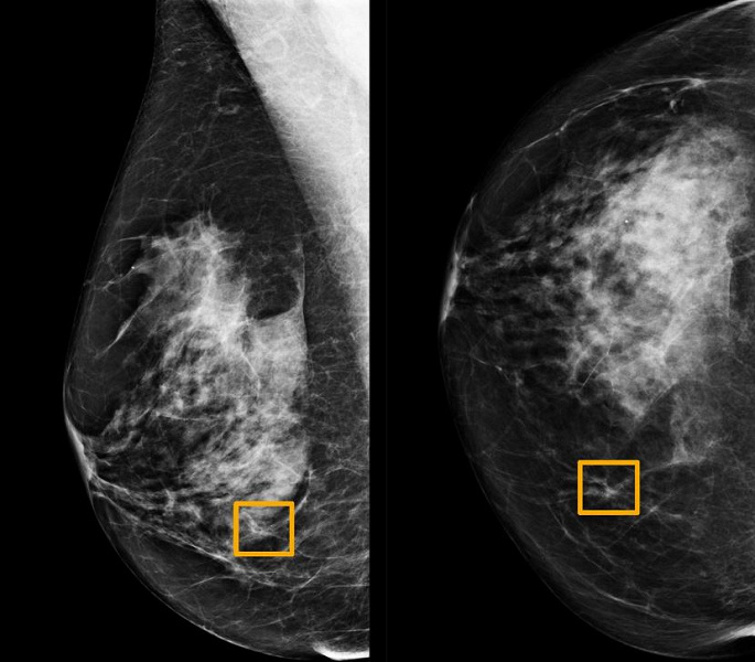
Искусственный интеллект Google выявляет рак груди точнее опытного врача
Дата: 2020-01-03 12:13
Исследование, опубликованное в журнале Nature, показало, что искусственный интеллект (ИИ) может повысить точность скрининга на рак молочной железы, которым, как утверждается, страдает каждая восьмая женщина в мире.
Изучая маммограммы, система искусственного интеллекта Google показала себя не хуже, чем опытные врачи и продемонстрировала перспективу уменьшения количества ошибок.
По данным Американского онкологического общества, радиологи пропускают около 20% случаев рака молочной железы, и половина всех женщин, которые прошли скрининг в течение 10 лет, имеют ложноположительный результат.
Система разработана компанией DeepMind, в 2014 году приобретенной холдингом Alphabet, совместно с Google Health. Команда, в которую вошли исследователи из Имперского колледжа Лондона и Британской национальной службы здравоохранения, провела обучение системы для выявления рака молочной железы на десятках тысяч маммограмм. Затем они сравнили результаты работы системы с фактическими результатами из набора 25 856 маммограмм из Великобритании и 3097 из США. Исследование показало, что система искусственного интеллекта может идентифицировать рак с такой же степенью точности, что и опытные радиологи, при этом уменьшая количество ложноположительных результатов на 5,7% в группе в США и на 1,2% в группе из Великобритании. Сократилось и количество ложных негативов, где тесты ошибочно классифицируются как нормальные — на 9,4% в группе из США и на 2,7% в группе из Великобритании.
Различия отражают способы чтения маммограмм. В Соединенных Штатах тесты проводятся каждые один-два года, а из результаты интерпретирует один радиолог. В Британии тесты проводятся каждые три года, и читаются двумя радиологами. Если они не приходят к консенсусу, то обращаются за консультацией к третьему.
В отдельном тесте группа сопоставила систему искусственного интеллекта с шестью радиологами и обнаружила, что она превосходит их по точности обнаружении рака молочной железы.
Источник отмечает, что идея использования компьютеров для улучшения диагностики рака не нова. Более того, системы автоматизированного обнаружения широко распространены в клиниках маммографии, но они пока не смогли повысить точность диагностики на практике.
Дело в том, что эти системы обучены распознавать то, что и так видят радиологи, в то время как ИИ учится распознавать рак на основе фактических результатов тысяч маммограмм и в результате может выявить тонкие признаки, которые, по словам исследователей, «не замечает человеческий глаз и мозг».
Исследование имеет некоторые ограничения. Большинство тестов проводилось с использованием оборудования для визуализации одного и того же типа, а в группе США было много пациентов с подтвержденным раком молочной железы.
КомментироватьПодробнее на iXBT
Предыдущие новости
Флагманской зеркальной камере Pentax K формата APS-C приписывают гибридный видоискатель
Как известно, компания Ricoh разрабатывает флагманскую зеркальную камеру формата APS-C с креплением Pentax K. Сравнив изображения прототипа, показанного на мероприятии Pentax Meeting 100th Anniversary Special, с изображениями камер Pentax K-1 и K-3 II, источник обратил внимание не различия в той части, где находятся элементы оптического видоискателя, и выдвинул предположение,...
Раскрыты характеристики PlayStation 5 и Xbox Series X
Стали известны характеристики игровых консолей PlayStation 5 от Sony и Xbox Series X от ее основного конкурента
WhatsApp перестанет работать на ряде устройств
Некоторые функции уже отключены с 31 декабря 2019 года. WhatsApp перестанет работать на ряде устройств со старыми версиями ОС iOS и Android. Это произойдет с 1 февраля 2020
Новые смартфоны Xiaomi Mi 10 и Mi 10 Pro будут выпущены в одно время
В первом квартале 2020 года Xiaomi собирается выпустить новую линейку смартфонов Mi 10. Согласно последней информации, с высокой вероятностью Mi 10 и версия Pro будут выпущены